枇杷正大量上市!有人因此险丧命!

是枇杷飘香的黄金时节 你有买来品尝吗? 但大家一定要小心 有人因一颗小小的枇杷核 吃货们,注意了! 一医院连续接诊枇杷核呛入气管病例 有人突发心肺骤停 近日,浙江海宁市人民医院连续接诊了因枇杷核呛入气管引发的急症病例。
差点要了命……
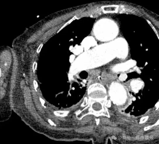
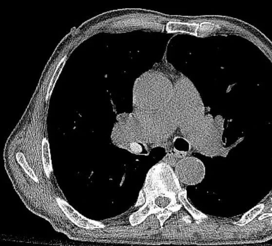
68岁的徐先生(化名)此前因慢性肺病反复住院,半月前刚病情稳定出院。然而两天前突现剧烈胸闷、喉部喘鸣,CT检查发现右侧主气管卡着一颗直径约1.5厘米的类圆形异物。

追问得知,患者发病前曾边谈笑边吃枇杷,虽经剧烈咳嗽仍误将果核吞入气道。呼吸科主任柳志浩介绍:“这颗果核随呼吸上下移动,随时可能完全阻塞气道引发窒息,必须立即镜下取出。”
另一例83岁女性患者更凶险,因帕金森病导致吞咽功能减退,她误吸枇杷核后突发心肺骤停。经抢救发现果核深嵌气道,最终通过高难度气管镜手术取出。柳主任指出:“这类基础病患者一旦发生气道异物,死亡率可达普通人群的3倍以上。”

医生透露,枇杷核表面光滑的特性给救治带来特殊挑战。常规异物钳难以夹取,需采用圈套器配合网兜技术,且在全身麻醉下精细操作。
枇杷核卡肺9天 七旬老人千里求医 原来他吞枇杷时核子“走错路”,直接滑进右肺中间支气管。当地医院因担心患者身体条件太差,医生不敢冒险做“取核手术”。于是家人连夜带着张大爷赶到上海,前往瑞金医院就诊。 在进行充分的准备后,呼吸科医生成功对张大爷实施手术,仅用5分钟便将约1.5厘米的枇杷核完整取出。此时,这颗枇杷核已经卡在张大爷的肺里长达整整9天。


热门内容:
- 多地强调 防疫不能无差别无休止地管控和限制
- 下周起,徐州公交这些线路有变化!
- 徐州信息网恭祝全市人民中秋快乐!
- 徐州市住房和城乡建设局某原副局长被判刑!
- 徐州驾校8月份合格率排名出炉!
- 铜山这些校外培训机构被查!
- 不调休!中秋节放假安排来了
- 徐州市常态化开放核酸采样点明细来了!
- 徐州主城区16所公办热门小学启动电脑派位!
- 徐州九顶山野生动物园 9月28日正式开园迎客!
- 徐州第3轮地铁规划
- 徐州又出新政,公积金偿还商贷细则来了!
- 汽车客运南站、汽车客运西站即将终止站务经营
- 2022年徐州最新最全买房、贷款、落户政策
- 移步换景!一起来看看彭城广场新面貌
- 核酸采样小屋,亮相徐州!
- 徐州市居民小区,开始集中整治!
- 徐州市全员核酸检测预约登记系统正式启用
- 被通知集中隔离应该做什么?
- “抄小道”,逃避防疫检查!被处罚!!!



